您好!欢迎访问通宝TB222生物(青岛)有限公司网站!
基础医学科研服务者无忧 可视 高效 专业
全国咨询热线:17657166935
当前位置: 首页 > 新闻资讯 > 行业动态
通宝TB222

电话:17657166935

QQ:2301757537

地址:山东省青岛市城阳区上马街道河东路上马科技企业加速器202室

邮箱:longkesci@163.com

行业动态Industry Dynamics

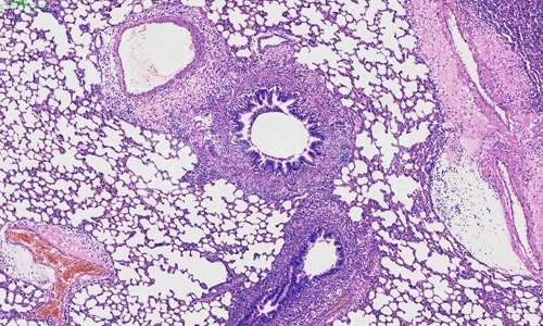
实验原理: 采用光学显微镜研究一般生物体的内部结构,在自然状态下是无法观察清楚的,多数动、植物材料都必须经过某种处理,将组织分离

2023/10/11详情 >

甲基化检测是一项重要的分子生物学技术,用于研究DNA序列上的甲基化修饰。DNA甲基化是指DNA分子中的碱基(通常是胞嘧啶)上加上一个甲基基

2023/10/08详情 >

生物医学研究的进展常常依赖于使用动物模型作为实验假说和临床假说二者的试验基础。人类疾病的动物模型(AnimalModelofHumanDiseases)是生

2023/09/26详情 >

酶联免疫吸附测定(enzyme linked immunosorbent assay,简写ELISA或ELASA)指将可溶性的抗原或抗体结合到聚苯乙烯等固相载体上,利用抗

2023/09/15详情 >

实验动物在科学研究中扮演着重要的角色,而它们的饲养管理对于保证实验的可靠性和动物福利至关重要。下面是一些关于实验动物饲养的注意事项

2023/09/11详情 >

在微生物学研究和应用中,准确鉴定细菌的种类和亲缘关系是非常重要的。而其中一种常用的方法就是使用16S rRNA基因序列进行鉴定。这种方法

2023/09/06详情 >

细菌培养是一项在科学研究、医学和工业领域中具有重要实际意义的技术。通过培养细菌,我们能够深入了解细菌的生命周期、生长特征、代谢途径

2023/09/04详情 >

石蜡切片及染色是组织学研究中常用的技术,用于制备组织切片并进行显微镜观察。下面列举一些关于石蜡切片及染色的注意事项。石蜡切片的制备

2023/08/30详情 >

冰冻切片和染色是病理学检测中常用的技术手段,用于研究组织和细胞的结构、功能以及病变情况。以下将介绍冰冻切片和染色在病理学检测中的意

2023/08/28详情 >

蛋白质是生物体内最基本的分子组成之一,对于维持生命活动起着至关重要的作用。但在生物体内,蛋白质通常与其他分子混合存在,需要通过蛋白

2023/08/21详情 >
热门推荐
生化检测中血液、组织、细胞等样本的收集、保存及运输

生化检测中血液、组织、细胞等样本的收集、保存及运输

血生化分析作为临床检验与科研探索的核心工具,其科研检测背景源于对生命物质化学本质的深度解析需求。

2025/09/04详情 >
解析 MIC 与 MBC:抗菌药物抗菌活性的两大关键参数

解析 MIC 与 MBC:抗菌药物抗菌活性的两大关键参数

在微生物学和药理学研究中,准确测定抗菌药物对微生物的抑制和杀灭能力至关重要,其中最低抑菌浓度(MIC)和最低杀菌浓度(MBC)是两个关键指标。

2025/07/22详情 >
 
通宝TB222
网站地图